Faj: Nyúl
Fajta: Holland törpenyúl
Színe: fekete. fehér
Ivar: ivaros nőstény
Kora: 3 év
Testtömege: 2 kg
Kondíció: jól táplált
A tulajdonosnál 6 hetes kora óta él, lakásban tartják egy nagy alapterületű ketrecben. A tulajdonos elmondása szerint nem szívesen eszik szénát, gyümölcsöket és zöldségeket sem. Kizárólag száraz nyúltápot fogyaszt, amely tele van színes pelletekkel, kukoricával, napraforgóval és préselt lucernával. Önitatóból nem hajlandó inni, ezért vizet egy lapos tányérból kap. Minden nap 2-3 órát tölt kint. Nincs társa, egyedül tartják. Évente vakcinázzák myxomatosis ellen.
Tulajdonos elmondása szerint 1 napja nem eszik az állat és nem ürít székletet. Feltűnően bágyadt, kedvetlen, keveset mozog.
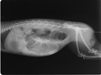
Megfelelő kondícióban lévő törpenyúl, testtömege 2 kg. A testnyílások környékén szennyeződés nem látható. A légzőszervek részéről kóros elváltozás nem tapasztalható. A mellkas felett hallgatózva ritmusos, szabályos szívhangok hallhatók. Szőre borzolt, fénytelen. Szemmel láthatóan bágyadt, a környezet ingereire alig reagál, összekuporodva ül, időnként remeg. A has tapintása során annak kifejezett puffadtsága nagy mennyiségű gáz jelenléte észlelhető. Fogait éber állapotban otoscoppal vizsgálva nem volt látható kopási rendellenesség. Az egész testről készített laterolateralis beállítású röntgenfelvételen a bélcsatorna számos szakaszának jelentős tágulata, gázzal való kiteltsége látható (lásd mellékelt Röntgen lelet.)
Diagnózis:Tympania
Pötyit bent tartottuk a rendelőben. Szájon át naponta 3x 1/3 kapszula probiotikum tartalmú Probiovet kapszulát (Energyvet). A kapszula tartalmát 5 ml vízben feloldva fecskendő segítségével szájon át adtuk be.. Táplálása mesterségesen történt naponta 3 alkalommal Trovet Guineapig (Trovet) gyógytáppal, melyet megfelelő mennyiségű vízzel felhígítva adtunk be neki injekcós fecskendő segítségével szájon át. Ebből alkalmanként 20 ml-t kapott. Egy nagyméretű ketrecben helyeztük el, amelyben lehetősége volt golyós önitatóból és tálkából is inni. Réti szénát, továbbá kis mennyiségben pitypanglevelet, tyúkhúrt is kínáltunk neki. Az első nap végére a vízből látványos fogyás nem történt, de a tyúkhúrból keveset evett. Hangulata és kedve délutánra kissé jobb lett, élénkebben reagált, a has teriméje valamelyest csökkent, de továbbra is feszes volt és gázzal telt. Másnap reggelre nagy mennyiségű székletet találtunk a ketrecében. Szénájából evett és a vizes tálkából is jól látható fogyás volt tapasztalható. Hasának teriméje számottevő mértékben csökkent, de még mindig gázosnak tűnt. A kezelést az előző napival azonos módon folytattuk. Másnap reggelre a ketrecben ismét igen nagy mennyiségű bogyót találtunk, az állat hasa normális nagyságúra csökkent, a tapintási lelet is a normálisnak volt megfelelő.
Aznap hazaadtuk és kértük a Probiovet folytatását.
Azóta teljesen rendben van Pötyi. 1 hétig kapott még Probiovetet és telefonon rendszeresen beszámolnak állapotáról.
Dr. Pappné Horváth Hajni
Talpas Állatorvosi Rendelő
Budapest




